The internet is a treasure trove of fascinating stories, and when it comes to the world of medicine, the tales become even more compelling. From incredible recoveries to puzzling diagnoses, medical cases reveal the sheer complexity and resilience of the human body. They offer a glimpse into the challenges and triumphs of healthcare. One such hub of remarkable medical stories is the subreddit r/medizzy, where people alike share some of the most captivating cases. This community dives into rare conditions that baffle even seasoned experts and highlights the everyday struggles and victories of doctors. Keep reading to explore these extraordinary medical cases that showcase the weird, wonderful, and awe-inspiring side of medicine!
#1 Facial Reconstruction During World War I (1916-1917) [colorized]

Image credits: GiorgioMD
#2 Before And After Orthognathic Surgery
Image credits: Traumaprof
#3 This Woman Performed A C-Section On Herself After Struggling During Labor And Not Having Access To Immediate Medical Care. Both She And The Baby Lived!
Image credits: Adeisha
For many of us, health is a top priority, and it’s astonishing to think about how far medicine has come in just the last 20 years.
From groundbreaking treatments to revolutionary technology, the advances have reshaped the way we think about healthcare and improved the quality of life for millions of people. It’s a journey of innovation, persistence, and human ingenuity that continues to wow us.
#4 Perfectly Lined Up Sternotomy Sealing, The Surgeon Is Amazing
Image credits: Just_Maya
#5 A Man From India Has An Ultra-Rare Condition Called Hypertrichosis, Also Known As “Werewolf Syndrome”
This incurable condition is so rare that it is believed that only 50 people have had it since the Middle Ages
Image credits: HealerMD
#6 Tetanus, Or "Lockjaw," Is Caused By The Bacterium Clostridium Tetani, Which Produces A Toxin Leading To Severe Muscle Spasms. Historically, Due To The Abrupt And Rigid Muscle Contractions, People Believed Tetanus Was A Form Of Demonic Possession
Image credits: problematicduck
Two decades ago, smartphones were just emerging, and now we have wearable devices like smartwatches that can monitor your heart rate, track your sleep, and even detect irregularities like atrial fibrillation.
These gadgets have made it easier for people to stay on top of their health without even stepping into a clinic. It’s like having a mini-doctor on your wrist—a concept that would have seemed like science fiction in the early 2000s.
#7 A Kidney Stone We Got Sent Today. Omg
Image credits: denobulans
#8 Normal Birthmark
Image credits: JustSavi
#9 Gouty Arthritis
Image credits: GiorgioMD
Surgical techniques have also seen tremendous progress. Take robotic-assisted surgeries, for example. The Da Vinci Surgical System, which gained popularity in the 2000s, now performs minimally invasive procedures with unparalleled precision.
Compared to traditional methods, it results in smaller scars, faster recovery, and less pain—a game-changer for both doctors and patients.
#10 A Man In Peru Experienced An Unusual Swelling, Resembling A Balloon, Following A Fishing Accident. After A Deep-Sea Diving Expedition For Shellfish, He Had To Quickly Resurface Due To The Propeller Of A Large Commercial Vessel Severing His Compressed Air Supply
Image credits: HealerMD
#11 I Had Brain Surgery In January Of ’23 And One Of The Screws Used Worked Its Way Through My Skin And Eventually Came Out
Image credits: psykokittie
#12 The Mermaid Syndrome
schastlivaya-zhizn:
The mermaid syndrome, also known as sirenomelia, is a rare, fatal multi-system congenital syndrome. The most common findings are lower limb fusion into a single extremity, deformities of the sacrum and pelvic girdle, absence of external genitalia, absence of anal patency, and lethal renal abnormalities. These infants frequently display Potter's facies and pulmonary hypoplasia as a result of the oligohydramnios that result from renal agenesis.
Image credits: GiorgioMD
Cancer treatments have undergone a revolution as well. Two decades ago, chemotherapy was often the primary option, but today we have targeted therapies and immunotherapies that are far more precise and personalized.
These treatments not only increase survival rates but also come with fewer side effects, offering patients a better quality of life during their recovery journey.
#13 Tight Situation! Boa Constrictor In The Emergency Room
Image credits: Surgeox
#14 13 Vertebral Bodies Taken From An Organ Donor To Be Used For Bone Marrow
Image credits: mriTecha
#15 Ever Since I Got Covid Twice Working As A Hcp In 2020, I Now Get Full Body Hives, Apparently A Post-Viral Reaction, A Couple Times A Month, Mostly When I’m Stressed
Image credits: GMorningSweetPea
Gene editing, once the stuff of sci-fi movies, is now a reality thanks to CRISPR technology. This revolutionary tool allows scientists to edit DNA with incredible precision, opening the door to potential cures for genetic disorders like cystic fibrosis and sickle cell anemia.
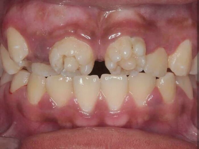
#16 These Are Mulberry Molars, Which Are Associated With Congenital Syphilis
Image credits: mriTecha
#17 Caput Medusae. It Is The Appearance Of Engorged And Severely Distended Epigastric Veins That Usually Radiate From Umbilicus Around The Abdomen. It Is Also Called Palm Tree Sign And Is Cardinal Sign Of Portal Hypertension
Image credits: mriTecha
#18 A Severe, Antibiotic Resistant Infection Caused My Eardrum To Rupture. I Bought A Digital Otoscope And Took A Picture Every Other Day As It Healed
Image credits: ShesGotSauce
Even everyday healthcare has seen a transformation. Telemedicine has surged in popularity, especially after the pandemic. Now, you can consult a doctor from the comfort of your home with just a few clicks.
#19 A Rare Glimpse At Something That’s Called Fascia, It’s The White Covering That Is On Top Of Muscle And Under The Skin!
Image credits: mriTecha
#20 Neurosurgeon Removes Live 8cm Long Worm From Woman's Brain
Image credits: GiorgioMD
#21 Shot That Demonstrates How Small A Developing Pair Of Fetal Lungs Can Be!
Image credits: GiorgioMD
Vaccines have also made remarkable strides. The speed at which COVID-19 vaccines were developed was a testament to how far medical research has come.
#22 Patient Got Bit By A Stray Dog, And This Is His Rabies Vaccine And Immune Globulin Set Up
Image credits: LittleLoobyLulu
#23 This Young Patient Stepped On A Football Table Pole, The Pole Penetrated The Sole Of His Foot Going Through The Shoe And Sock
Image credits: mriTecha
#24 Frozen Red Cells From A Prenatal Patient Who Is U Negative And Has Anti-U. Approximately 99.9% Of The Population Is U Positive. The Red Cells Will Be Used To Identify Antibodies On Future Patients
Image credits: Zukazuk
Digital health records have replaced the old system of paper files, making healthcare more efficient and less prone to errors. Doctors can now access your medical history in seconds, enabling better coordination and care. It’s a small but crucial improvement that has made a world of difference.
The rise of personalized medicine is another leap forward. By analyzing a person’s genetic makeup, doctors can now tailor treatments specifically to their needs.
#25 Extreme Case Of Lymphedema!
HealerMD:
Lymphedema, or lymphatic obstruction, is a long-term condition where excess fluid collects in tissues causing swelling (edema).The lymphatic system is a part of the circulatory system and vital for immune function. Lymphedema is caused by a blockage of this system. Lymphedema commonly affects one of the arms or legs. In some cases, both arms or both legs may be affected...
Image credits: HealerMD
#26 Had Vitrectomy Surgery 3 Years Ago, And One Pupil Is Always Bigger Than The Other Now
Image credits: sunnysideup2323
#27 Baby Born With Mother's Iud Device In His Head
Image credits: HealerMD
Medicine has always been about saving lives, but today it’s also about enhancing them. These posts highlight just how far medicine has come. From life-saving treatments to mind-boggling innovations, they remind us of the power of science and human ingenuity. Which one of these posts surprised or inspired you the most? Do you have a favorite medical breakthrough or story?
#28 My Baby Implanted Next To My Copper Iud Last Year. My Obgyn Office Is Still Talking About How Rare This Was. She’s 7 1/2 Weeks Old Now
Image credits: bigsqueezies
#29 Heavy Calculus Removal
Image credits: GiorgioMD
#30 Blood From 5 Y/O With Nephrotic Syndrome
Image credits: braced
#31 This Man Named Tim Had A Cancerous Tumor That Had Grown To The Size Of A Melon And Had It Rebuilt By A Pioneering Surgeon
Image credits: Surgeox
#32 My Nails Are Wrinkly And Quite Brittle
Image credits: snaggle_panther
#33 Nails Coming Off After HFMD
Came down with a severe case of hand, foot and mouth disease about a month and a half ago. Now my nails are coming off and yesterday my whole toe nail popped off!
Image credits: FrutaPadre
#34 My Husbands Blood Pressure. Doctor Was Surprised He Was Alert And Holding Conversation.
Image credits: el_torko
#35 Brother Had Surgery On His Eye For Melanoma
Image credits: Breablomberg21
#36 Osteosarcoma
Osteosarcoma is a malignant tumors which begins in the bone forming cells.It typically occurs in young patients with 75% taking place before the age of 20 as the growth centers of the bone are more active during puberty.
Image credits: GiorgioMD
#37 Extremely Pruned Fingers After Picking Mangos Without Gloves
Image credits: HealerMD
#38 A Man In His 50’s, While Under The Influence, Fell Onto The Pedal Of His Bicycle
Image credits: HealerMD
#39 Spontaneous Hyphema
Image credits: GiorgioMD
#40 Debridement Collection Of Calcifications Resulting From Synovial Chondromatosis In My Right Shoulder
Image credits: DetroitWagon
#41 My Dad’s Hand After A Bee Sting
Image credits: itsnobigthing
#42 PE Removal With New Procedure. Here’s What They Sucked Out Of My Lungs Via My Groin Last Week
Image credits: Travis9283
#43 Bilateral Keratoconus
Keratoconus is a condition in which the cornea of the eye is unable to hold its round shape and it bulges outward, like a cone. It is usually bilateral and present normally at puberty. It is considered rare in children.
What you see here is an “oil-droplet” reflex (Charleux sign), a dark reflex in the area of the cone on observation of the cornea by distant direct ophthalmoscopy, which is highly evocative of keratoconus.
Image credits: Emergentelman
#44 Messed Up My Ankle Real Bad, Was Told To Post Here. Feel Free To Study This Or Whatever
Image credits: InquisitorDomina
#45 Toxoplasma Gondii Abscess In The Brain
Image credits: HealerMD
#46 Best Friend’s Dad’s Arm After Boxing Injury
Image credits: hellgirllll
#47 A Year Ago I Had…something
It was extremely itchy, was only on my arms and legs. Went to two doctors about it, one said looks fungal, the other said looks bacterial. Neither diagnosed me.
Image credits: zotonn
#48 Sunken Nose
Image credits: mriTecha
#49 Vomited Too Violently And Ended Up With Petechiae On My Eyelids And Neck
Image credits: FrogsEatingSoup
#50 An MRI View You Won’t See Everyday
Image credits: atgctgttt